细胞科普|央视权威发声,糖尿病是全身病!18项临床试验:干细胞治疗糖尿病有效率达72%
点击蓝字 关注我们

前 言
“血糖高一点没关系,吃点药就行。”——这句话,正是无数中国家庭的共同误区。
近日,央视科教频道《健康之路》专题节目中,专家郑重提醒:糖尿病不仅是“代谢问题”,而是一场影响全身的“隐形风暴”。

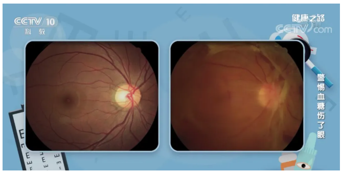
当血糖长期失控,它会悄无声息地攻击你的眼睛、肾脏、神经和心血管系统——从视力模糊到失明,从脚趾麻木到截肢,甚至猝死。
节目中专家指出:“这不是并发症‘可能出现’,而是‘正在发生’。”而在另一端,科研界传来振奋消息——干细胞治疗正在打开糖尿病治疗的新纪元。
多项临床数据显示,它不仅能改善血糖控制,还能恢复胰岛功能,让部分患者真正摆脱胰岛素依赖。
01 糖尿病是一场“全身战争”,央视节目揭开真相
央视在节目中用了一个比喻——“糖尿病就像沙子进入齿轮”。看似微小的血糖波动,却在一点点磨损全身每个器官。
中国疾病预防控制中心的最新统计表明:我国糖尿病患者超过1.4亿人;超过50%的患者存在不同程度的视网膜病变;30% 的患者出现肾功能下降。

而更可怕的是——这些并发症往往在血糖“勉强合格”的情况下就已启动。央视节目警示:“一旦眼底出血、肾功能恶化,很多损伤是不可逆的。”
这也解释了为何科学家开始转向“修复性治疗”:与传统药物只负责“降糖”不同,干细胞治疗的目标是重建代谢平衡。它通过分化出胰岛β细胞、修复胰腺微环境,并释放抗炎因子,从源头改善糖代谢。从“控糖”到“修复”,这是医学范式的根本跃迁。
02 18项临床试验证明——干细胞疗法安全且有效
让科学说话。
2025 年发表在 Diabetology & Metabolic Syndrome 的系统综述由英国伯明翰大学团队完成,整合了18项国际临床试验,涉及超过700名糖尿病患者(T1DM+T2DM)。
结果显示:72%的患者血糖控制明显改善;平均 HbA1c 下降1.0%–1.5%;35% 的患者在半年内减少胰岛素用量超过50%;少数1型糖尿病患者甚至完全停用胰岛素。

更令人鼓舞的是安全性数据:无一例严重免疫排斥或肿瘤样变事件。最常见的轻度反应是短暂发热或轻微低血糖。
另一篇发表于Stem Cell Research & Therapy的分析指出:“干细胞治疗可显著改善胰岛β细胞功能,并延缓并发症进展。”
这些证据让人看到,干细胞疗法已从“理论希望”变成“临床现实”。全球已有超过60项注册中的临床试验正在推进。
03 科学机制揭秘——干细胞如何“修复”糖尿病?
要理解干细胞疗法的神奇,必须先明白糖尿病的“战场”在哪。糖尿病的核心问题,不只是胰岛β细胞死亡,更是整个代谢网络的崩塌:慢性炎症、氧化应激、血管硬化、神经受损……
而干细胞——尤其是
间充质干细胞(MSC)——能在多条战线上同时出击:
免疫调节:抑制攻击胰岛细胞的自身免疫反应,减少免疫系统“误伤”;
抗炎与修复:分泌细胞因子(如IL-10、TGF-β),修复胰岛及血管内皮损伤;
促进再生:在体内分化为类似胰岛β细胞的功能细胞,重新分泌胰岛素;
改善微循环:增强胰腺与肾脏的血供,从根源减轻并发症进展。
2025年 Frontiers in Endocrinology 报道的一项临床研究显示,在接受脐带来源 MSC 治疗的患者中,C-肽水平平均上升45%,提示胰岛功能恢复。
04 从实验室到病房——中国力量正在崛起
值得关注的是,中国的干细胞临床研究正快速追赶。根据中国临床试验注册中心2025年数据,国内已有40余项干细胞治疗糖尿病相关项目 正在进行,涵盖北京协和医院、华中科技大学同济医院、复旦大学附属中山医院等多家权威机构。
其中,华中科技大学团队在2024年发表的初步结果显示:10例2型糖尿病患者接受自体脂肪来源MSC输注后,平均 HbA1c 从8.9% 降至7.1%;胰岛素用量下降42%;未出现严重不良反应。
复旦大学中山医院团队则通过联合使用 MSC 与胰岛前体细胞,在动物模型中实现了近乎完全的胰岛功能恢复,正在申请二期临床批件。
央视节目中专家总结:“糖尿病不仅要控糖,更要治根。”干细胞正成为这场战役中最有潜力的“修复军团”。
05 科学与希望同行——糖尿病治疗正在被改写
从央视的警示,到科研前沿的突破,我们正见证一场医学范式的转变。糖尿病,不再只是“管住嘴、迈开腿”的终身控制病,而可能成为可以被修复的系统性代谢疾病。
18项临床试验的数据只是起点,未来十年,干细胞疗法将与基因编辑、人工胰岛系统共同构筑“治愈糖尿病”的希望之路。
正如央视节目最后那句话:“控制血糖,不只是防并发症,更是给身体一个重新健康的机会。”
当科学与医疗携手,人类也许正一步步接近那个梦想——不再被胰岛素束缚的自由人生。


本公众号所有文章旨在宣传生命科学领域的最新技术和研究,所有内容均不构成任何医疗指导。

本篇文章来源于微信公众号:中启源生物科技





